EMS公司自豪地推出一款無鈾染液,對TEM以及所有的染色應用而言,它是一種全新的比對染色試劑,可以取得和醋酸雙氧鈾一樣的實驗結果。
染色速度快(一分鐘),無輻射擔憂。有時候,為了增強比對效果,可以使用檸檬酸鉛負染。為了防止沉淀發生,使用室溫蒸餾水溶解染液。
Uranyless無鈾染液的PH值大約在6.8-7之間。壓力瓶(有噴嘴)保存,延長了保質期,減少了二氧化碳的污染。
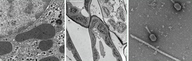
無鈾染液可以應用在很多生物組織上,例如:腸、骨骼、心肌、肝臟、腎臟、神經、細胞培養、植物組織等,還有抗菌素、細菌和高分子材料。無鈾染液的穩定性和可重復性都表現的非常理想,圖片如下:

|
貨號 |
產品描述 |
規格 |
|
22409 |
Uranyless 無鈾染液 |
30ml |
|
22410 |
Lead Citrate, Ready to use |
30ml |
| 電話 010-52571502 010-51248120 郵箱 hedebio@163.com |